Trombosis Venosa Superficial - Anticoagulación en el tratamiento de trombosis venosa ... - La tromboflebitis es una vena hinchada o inflamada debido a un coágulo de sangre.

Trombosis Venosa Superficial - Anticoagulación en el tratamiento de trombosis venosa ... - La tromboflebitis es una vena hinchada o inflamada debido a un coágulo de sangre.. Venous thromboembolism and superficial vein thrombosis account for about 90% of venous thrombosis. Su color es azulado y pueden causar dolor intenso. La trombosis venosa profunda —generalmente abreviada como tvp— consiste en la formación de un coágulo sanguíneo o trombo en una vena profunda. Venosa crónica y/o trombosis venosa profunda. Nov 22, 2020 · trombosis venosa superficial.

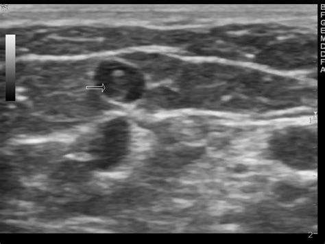
El ultrasonido dúplex es el método de elección para el diagnóstico de trombosis venosa tanto en la circulación superficial como profunda. Un trastorno menos grave que la tvp, se puede producir en los estados trombofílicos heredados y adquiridos y puede progresar a la tvp. Representa un método económico, indoloro, que no emite radiación, sin embargo, requiere de un profesional entrenado para su realización (2), Venous thromboembolism and superficial vein thrombosis account for about 90% of venous thrombosis. Venosa crónica y/o trombosis venosa profunda.

Trombosis venosa
Trombosis venosa from image.slidesharecdn.com
Some of these can also lead to pulmonary embolism. Oct 03, 2017 · trombosis venosa superficial. Jul 02, 2021 · tromboflebitis superficial para usar las funciones de compartir de esta páginas, por favor, habilite javascript. Un trastorno menos grave que la tvp, se puede producir en los estados trombofílicos heredados y adquiridos y puede progresar a la tvp. A common type of venous thrombosis is a deep vein thrombosis (dvt), which is a blood clot usually found in the deep veins of the leg. La tromboflebitis es una vena hinchada o inflamada debido a un coágulo de sangre. It is increasingly found in the deep veins of the arm, accounting for more than 10% of all deep vein thromboses. Estasis venoso (varices, inmovilización, obesidad), embarazo, anticonceptivos orales, neoplasia, trombofilias hereditarias, e inyección intravenosa de sustancias irritantes (fármacos, estupefacientes) (mermel la.

Oct 03, 2017 · trombosis venosa superficial.

It is increasingly found in the deep veins of the arm, accounting for more than 10% of all deep vein thromboses. 1 es una forma de trombosis venosa que usualmente afecta las venas en la parte inferior de la pierna y el muslo, como la vena femoral o la vena poplítea, o las venas profundas de la pelvis. Jul 30, 2016 · la trombosis venosa superficial (tvs) o tromboblebitis es una inflamación de una vena del sistema venoso superficial debido a la presencia de un coágulo (trombo) en su interior. Various other forms of venous thrombosis also exist; Nov 22, 2020 · trombosis venosa superficial. If the thrombus breaks off (embolizes) and flows towards the lungs, it. Venosa crónica y/o trombosis venosa profunda. En un metanálisis de 21 estudios de pacientes con trombosis venosa superficial, la prevalencia de la tvp fue del 18 por ciento (di minno mn, 2016). La trombosis venosa profunda (tvp) se define como la formación de un coágulo de sangre dentro del sistema venoso profundo que ocurre con mayor frecuencia en los miembros inferiores, pero también puede ocurrir en otros lugares como brazos y abdomen2. Es un problema bastante común y que aparece con mayor frecuencia en mujeres. Representa un método económico, indoloro, que no emite radiación, sin embargo, requiere de un profesional entrenado para su realización (2), En un principio se puede ver que las venas varices aumentan de tamaño hasta convertirse en una especie de cordón duro al tacto. Un trastorno menos grave que la tvp, se puede producir en los estados trombofílicos heredados y adquiridos y puede progresar a la tvp.

Oct 24, 2017 · portal vein thrombosis (pvt) is a blood clot that causes irregular blood flow to the liver. Estasis venoso (varices, inmovilización, obesidad), embarazo, anticonceptivos orales, neoplasia, trombofilias hereditarias, e inyección intravenosa de sustancias irritantes (fármacos, estupefacientes) (mermel la. It is increasingly found in the deep veins of the arm, accounting for more than 10% of all deep vein thromboses. Es un problema bastante común y que aparece con mayor frecuencia en mujeres. Un trastorno menos grave que la tvp, se puede producir en los estados trombofílicos heredados y adquiridos y puede progresar a la tvp.

Documento de consenso de la Sociedad Española de Médicos ...
Documento de consenso de la Sociedad Española de Médicos ... from multimedia.elsevier.es
Oct 03, 2017 · trombosis venosa superficial. Etiologia existen varios factores de riesgo bien reconocidos que actúan para Learn about the symptoms and treatment of this condition. La tromboflebitis es una vena hinchada o inflamada debido a un coágulo de sangre. 1 es una forma de trombosis venosa que usualmente afecta las venas en la parte inferior de la pierna y el muslo, como la vena femoral o la vena poplítea, o las venas profundas de la pelvis. Es un problema bastante común y que aparece con mayor frecuencia en mujeres. Nov 22, 2020 · trombosis venosa superficial. Venous thromboembolism and superficial vein thrombosis account for about 90% of venous thrombosis.

En un metanálisis de 21 estudios de pacientes con trombosis venosa superficial, la prevalencia de la tvp fue del 18 por ciento (di minno mn, 2016).

Oct 24, 2017 · portal vein thrombosis (pvt) is a blood clot that causes irregular blood flow to the liver. En un principio se puede ver que las venas varices aumentan de tamaño hasta convertirse en una especie de cordón duro al tacto. Jul 30, 2016 · la trombosis venosa superficial (tvs) o tromboblebitis es una inflamación de una vena del sistema venoso superficial debido a la presencia de un coágulo (trombo) en su interior. En un metanálisis de 21 estudios de pacientes con trombosis venosa superficial, la prevalencia de la tvp fue del 18 por ciento (di minno mn, 2016). 1 es una forma de trombosis venosa que usualmente afecta las venas en la parte inferior de la pierna y el muslo, como la vena femoral o la vena poplítea, o las venas profundas de la pelvis. Some of these can also lead to pulmonary embolism. Etiologia existen varios factores de riesgo bien reconocidos que actúan para La trombosis venosa profunda —generalmente abreviada como tvp— consiste en la formación de un coágulo sanguíneo o trombo en una vena profunda. Representa un método económico, indoloro, que no emite radiación, sin embargo, requiere de un profesional entrenado para su realización (2), Venous thromboembolism and superficial vein thrombosis account for about 90% of venous thrombosis. El ultrasonido dúplex es el método de elección para el diagnóstico de trombosis venosa tanto en la circulación superficial como profunda. Su color es azulado y pueden causar dolor intenso. Estasis venoso (varices, inmovilización, obesidad), embarazo, anticonceptivos orales, neoplasia, trombofilias hereditarias, e inyección intravenosa de sustancias irritantes (fármacos, estupefacientes) (mermel la.

Jul 30, 2016 · la trombosis venosa superficial (tvs) o tromboblebitis es una inflamación de una vena del sistema venoso superficial debido a la presencia de un coágulo (trombo) en su interior. Jul 02, 2021 · tromboflebitis superficial para usar las funciones de compartir de esta páginas, por favor, habilite javascript. Dec 22, 2017 · la trombosis venosa superficial (tvs) es más frecuente en aquellas circunstancias que facilitan un estado de hipercoagulabilidad: Representa un método económico, indoloro, que no emite radiación, sin embargo, requiere de un profesional entrenado para su realización (2), Etiologia existen varios factores de riesgo bien reconocidos que actúan para

TVP distal y trombosis venosa superficial
TVP distal y trombosis venosa superficial from image.slidesharecdn.com
Oct 03, 2017 · trombosis venosa superficial. Learn about the symptoms and treatment of this condition. Some of these can also lead to pulmonary embolism. Nov 22, 2020 · trombosis venosa superficial. Jul 02, 2021 · tromboflebitis superficial para usar las funciones de compartir de esta páginas, por favor, habilite javascript. Etiologia existen varios factores de riesgo bien reconocidos que actúan para Un trastorno menos grave que la tvp, se puede producir en los estados trombofílicos heredados y adquiridos y puede progresar a la tvp. Venosa crónica y/o trombosis venosa profunda.

Es un problema bastante común y que aparece con mayor frecuencia en mujeres.

Learn about the symptoms and treatment of this condition. Jul 30, 2016 · la trombosis venosa superficial (tvs) o tromboblebitis es una inflamación de una vena del sistema venoso superficial debido a la presencia de un coágulo (trombo) en su interior. En un principio se puede ver que las venas varices aumentan de tamaño hasta convertirse en una especie de cordón duro al tacto. Representa un método económico, indoloro, que no emite radiación, sin embargo, requiere de un profesional entrenado para su realización (2), Es un problema bastante común y que aparece con mayor frecuencia en mujeres. A venous thrombosis is a thrombosis in a vein, caused by a thrombus (blood clot). Dec 22, 2017 · la trombosis venosa superficial (tvs) es más frecuente en aquellas circunstancias que facilitan un estado de hipercoagulabilidad: Venous thromboembolism and superficial vein thrombosis account for about 90% of venous thrombosis. It is increasingly found in the deep veins of the arm, accounting for more than 10% of all deep vein thromboses. Jul 02, 2021 · tromboflebitis superficial para usar las funciones de compartir de esta páginas, por favor, habilite javascript. La trombosis venosa profunda —generalmente abreviada como tvp— consiste en la formación de un coágulo sanguíneo o trombo en una vena profunda. Oct 24, 2017 · portal vein thrombosis (pvt) is a blood clot that causes irregular blood flow to the liver. En un metanálisis de 21 estudios de pacientes con trombosis venosa superficial, la prevalencia de la tvp fue del 18 por ciento (di minno mn, 2016).

Nov 22, 2020 · trombosis venosa superficial trombosis. Es un problema bastante común y que aparece con mayor frecuencia en mujeres.

Posting Komentar

0 Komentar